随着春运脚步的日益临近,南铁管内的列车正紧锣密鼓地开展全面焕新工作,就如同一场盛大的“美容体检”行动,为即将到来的春运做好充分准...
在旅游市场不断发展与升级的当下,人们对于旅游的需求不再局限于传统的观光游览,而是愈发注重健康、养生与文化体验的深度融合。三亚,这...
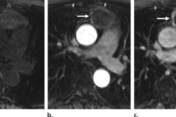
在医疗健康领域,胸部肿瘤的防治一直是备受关注的重要议题。近期,有一则令人醒的案例,一位患者体内被发现胸部存在厘米级别的肿瘤。这一...
随着春节脚步的日益临近,长三角地区一年一度的春运大幕已然缓缓拉开。春运,对于众多漂泊在外的游子而言,是归心似箭的急切期盼,是与家...
在当今数字化时代浪潮下,湖南东安积极推进乡村数字化建设,为乡村振兴注入了全新的强大动能。通过一系列数字化举措,东安正逐步实现乡村...
随着春节的脚步日益临近,一年一度的春运大幕正式开启,预计将有亿人次参与这场规模宏大的跨区域出行。春运,不仅是一场人口的大迁徙,更...
东北首例心脏及肝脏联合移植手术在沈阳成功完成,这一重大医学突破不仅为东北地区的患者带来了生的希望,也标志着沈阳在器官移植领域取得...
广铁春运预计发送旅客万人次,这一数据备受关注。每到春运时节,广铁都肩负着巨大的运输重任,承载着无数游子归乡与出行的期盼。春运,是...
全民减肥热在当下社会持续升温,成功引爆了体重管理年。这一热潮不仅反映了人们对健康生活方式的追求,更引领了一股全新的风尚。随着生活...
随着春运大幕的拉开,太原机场迎来了一年中最为繁忙的时刻。为了满足旅客在春节期间的出行需求,太原机场积极采取措施,对多条航线进行加...